IV-Seg_Segmentation02-0.png
IV-Seg_Segmentation02-1.png
IV-Seg_Segmentation02-2.png
IV-Seg_Segmentation02-3.png
IV-Seg_Segmentation02-4.png
IV-Seg_Segmentation02-5.png
IV-Seg_Segmentation02-6.png
IV-Seg_Segmentation02-7.png
IV-Seg_Segmentation02-8.png
IV-Seg_Segmentation02-9.png
IV-Seg_Segmentation02-10.png
IV-Seg_Segmentation02-11.png
IV-Seg_Segmentation02-12.png
IV-Seg_Segmentation02-13.png
IV-Seg_Segmentation02-14.png

OSS開発支援

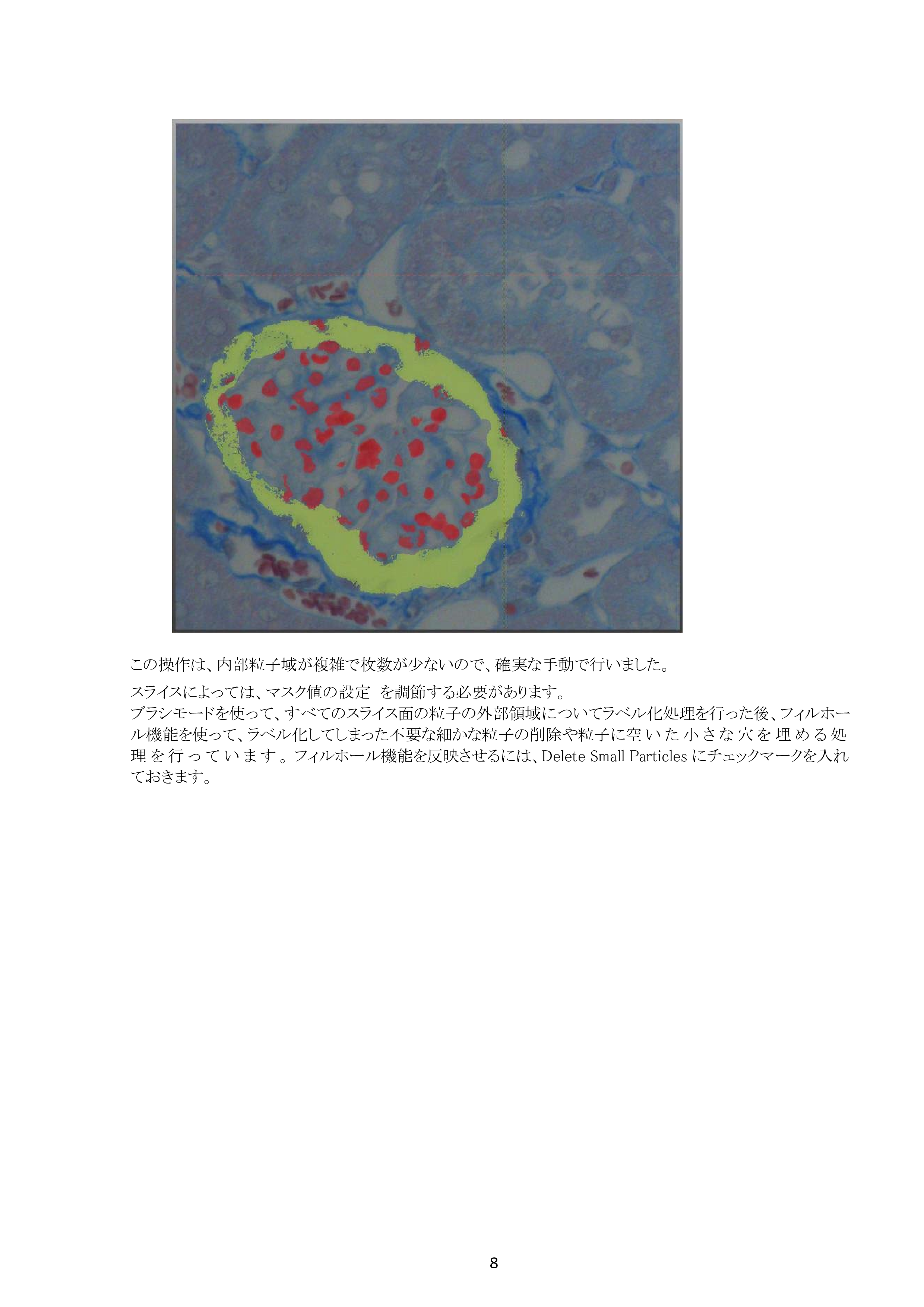
画像