IV-Seg_Segmentation01-0.png
IV-Seg_Segmentation01-1.png
IV-Seg_Segmentation01-2.png
IV-Seg_Segmentation01-3.png
IV-Seg_Segmentation01-4.png
IV-Seg_Segmentation01-5.png
IV-Seg_Segmentation01-6.png
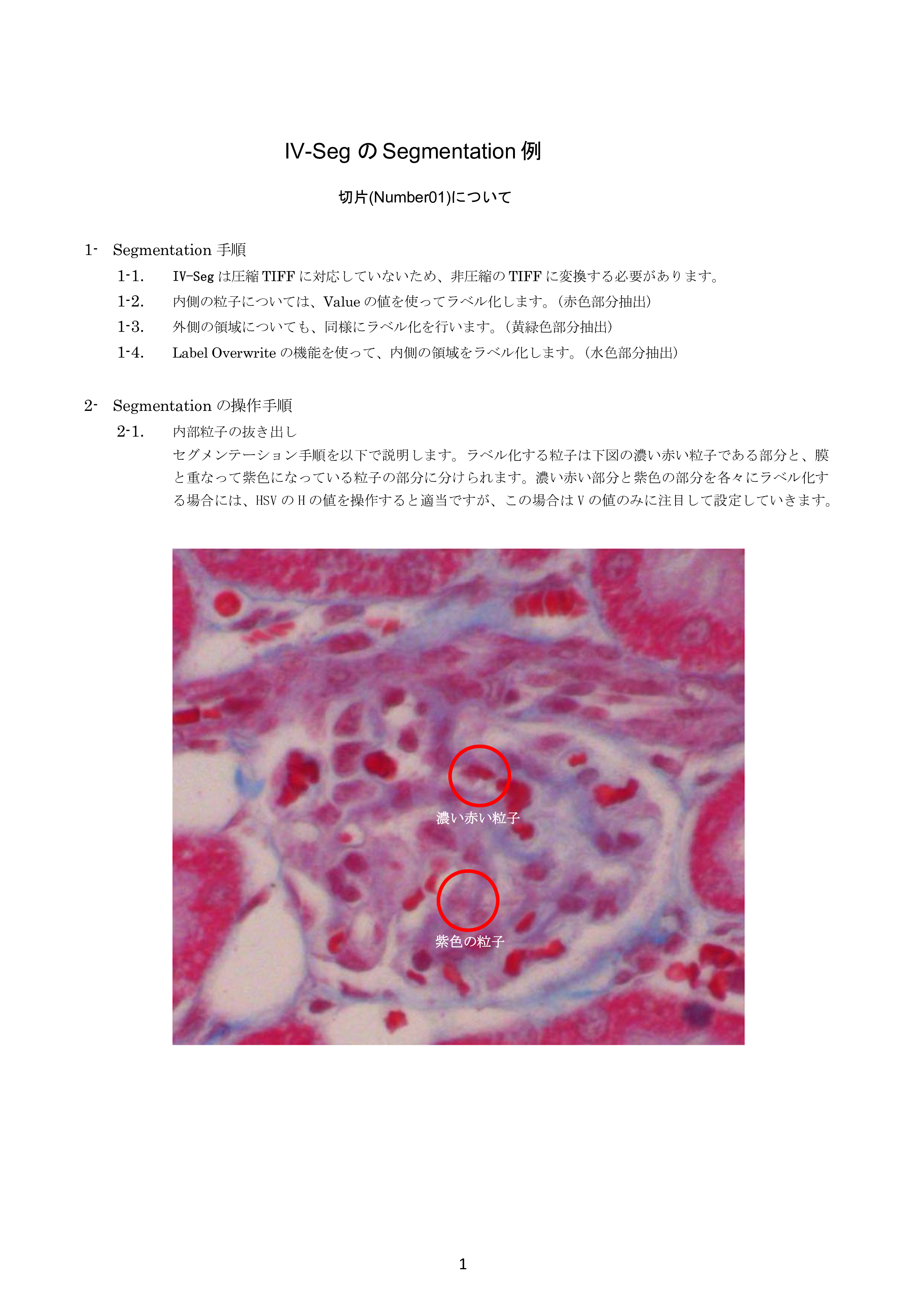
IV-Seg_Segmentation01-7.png
IV-Seg_Segmentation01-8.png
IV-Seg_Segmentation01-9.png
IV-Seg_Segmentation01-10.png
IV-Seg_Segmentation01-11.png
IV-Seg_Segmentation01-12.png
IV-Seg_Segmentation01-13.png
IV-Seg_Segmentation01-14.png
IV-Seg_Segmentation01-15.png
IV-Seg_Segmentation01-16.png
IV-Seg_Segmentation01-17.png

OSS開発支援

画像